Topic followed successfully
Go to BHkuPenting rawat pendarahan gusi ketika hamil
Pengguna Berdaftar
Penting rawat pendarahan gusi ketika hamil
May 22, 2024 | 5:30 AM
Penting rawat pendarahan gusi ketika hamil
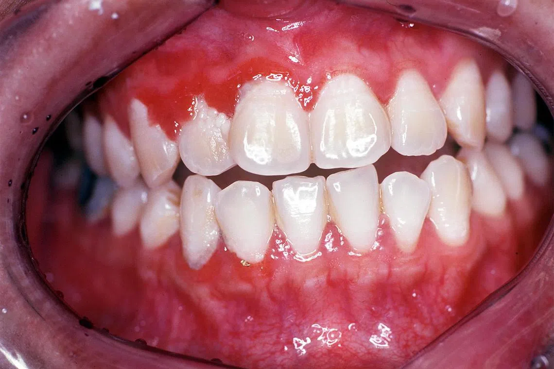
Gingivitis adalah keradangan gusi menyebabkan ia bengkak dan berdarah. Ia boleh dikesan dengan gejala kemerahan, atau kelembutan pada tisu gusi. - Foto NUH
Ramai wanita hamil dilapor mengalami gingivitis – sejenis keradangan gusi.
Gejalanya termasuk bengkak, pendarahan, kemerahan, atau kelembutan pada tisu gusi.
Laporan berkaitan
Demi keluarga dan adik, pesakit ginjal tekad
kuatkan semangatApr 30, 2024 | 10:33 AM
Manfaat bersenam bagi warga emasMay 21, 2024 | 1:57 PM

